Below are common questions about tooth loss and solutions.
According to one recent study, 19% of adults in the United States suffered from complete edentulism (total tooth loss) in 2011-2012. While this percentage has dropped dramatically over the past 50 years it is still a dramatic issue facing the dental profession. The fact that nearly 1 in 5 adults is missing all of their natural teeth is a stark reminder of how important early intervention and routine dental care is.
People suffering from tooth loss now have a variety of options. Whether a person is missing a single tooth or an entire arch of teeth there are now many ways that teeth can be replaced. Dental implants are now commonly employed to replace single missing teeth or to support dentures or bridges for people that are missing multiple teeth. Don’t let tooth loss force you to change your habits or cause other issues for your dental health. Ask our office about your options for replacing missing teeth and we are happy to provide you with detailed treatment plans that will discuss the pros and cons of each approach.

Complete dentures are used when a person has no remaining teeth. They are made to match the contours of the remaining jawbone and gum tissue. Dentures are worn during the day and removed nightly. They typically yield the least amount of functionality as a tooth replacement option but can still provide the ability to maintain a balanced diet and a person’s smile line.

Removable partial dentures are used when a person is missing only a portion of their teeth. The remaining teeth are used as anchorage for the partial denture, which is removable and is removed nightly. A partial denture yields better functionality when compared to a complete denture but bone loss continues to occur in the sites where teeth are missing and this can compromise the fit of the partial denture over time.

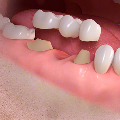
Fixed partial dentures (“bridges”) are not removable like complete dentures and partial dentures. Rather they are cemented on adjacent remaining natural teeth and remain permanently in the mouth. Use of a bridge requires that the anchorage teeth be reduced to create space for the crowns that will be cemented on top of them. Bone loss still occurs in the sites where teeth are missing but bridges yield much better functionality when compared to dentures and partial dentures.