For much of the last 100 years dentists routinely relied on the use of complete dentures, removable partial dentures and fixed partial dentures (more commonly referred to as “bridges”) to replace missing teeth. Over the past 30 years the widespread use of dental implants has completely changed the approach that is taken to replacing missing teeth. Implants can be used in many ways to suit each individual’s unique situation and provide a predictable long-term outcome that does not require the destruction of natural tooth as is the case with fixed partial dentures. When teeth are lost the remaining jawbone and gum tissues continue to shrink (resorb) over time. This can lead to complications with the fit of dentures over time and also can change a person’s appearance.

The jaw bone needs teeth to maintain shape. If there is no implant, as with conventional bridges or partial prostheses, the bone may slowly recede and the shape of the face may change over time.

Implants consistently transmit chewing forces to the jaw bones, which helps to maintain the bone.

In a healthy mouth, the tooth transmits chewing forces to the jaw, and this helps to maintain the bone.
If one or more teeth are lost, these forces cease and the bone may slowly recede. As a result, neighboring teeth may also move inwards, creating additional gaps, as shown in the illustration.
BONE PRESERVATION:
Dental implant therapy can help to prevent the gradual bone deterioration described above, since the action of the implant mimics that of the original root, transmitting chewing forces to the jaw bone in a natural way.

BRIDGE OPTION:
Two teeth must be ground down to support a bridge. A bridge does not transmit chewing forces to the jaw bone, so bone loss may occur.
DENTAL IMPLANTS:
Tooth replacement with a dental implant allows neighboring teeth to remain intact, and bone is preserved over time.
A dental implant is a device that can be used to replace a single missing tooth or multiple missing teeth.An implant is typically made of a bio-compatible material such as titanium or zirconium, which the jaw bone will accept and integrate or grow around. Implants have changed the way that we treat missing teeth and patients are finding every day the unique advantages of using implants to support single crowns, bridges and dentures.
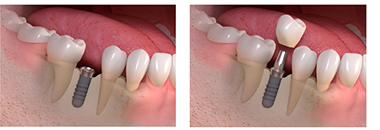
As seen here, when a single missing tooth is present a single implant can be placed to replace the missing tooth. Typically this process will begin by seeing a dentist who can evaluate the site of the missing tooth (or failing tooth) and who can then create a plan for the most ideal type of restoration. The restorative plan will then be verified with the surgeon that will place the implant and often times this will mean having a 3-D xray (Cone Beam CT) that will allow both the dentist and the oral surgeon an opportunity to perform a digital surgery to plan the case and help avoid complications.
Following placement of the implant a healing time of 4-6 months is typically necessary to allow the bone to effectively “osseointegrate” (attach to the implant and create a stable platform for use). Occasionally, an implant can have a temporary crown attached to it the same day that it is placed if the jaw bone is dense enough around the implant to support an immediate load. Same day restoration of an implant is more common for a front tooth than it is for a posterior tooth (bicuspid or molar) and can increase the risk for implant failure if it is not properly planned. If immediate temporization is not indicated than another form of temporary can be used that is not attached to the implant. After it has been confirmed that integration is complete the implant can be restored (the crown, bridge or denture can be attached).

This illustration shows an implant that has fully integrated and is ready for restoration. After uncovering the implant a specifically designed component called the “abutment” is screwed into the implant (this will act as the new foundation for your crown). After the abutment is in place a crown can be made to fit the exact dimensions of the abutment just as if it were a natural tooth. Likewise specific abutments can be made to support both bridges and dentures as well
In this final illustration the final crown is shown seated on top of the underlying abutment that is attached to the implant via a screw. The crown is translucent to show the abutment in this diagram but will not show the the underlying abutment when in a person's mouth. Nearly all implants are now restored with "screw retained" prosthetics meaning that they can be retrieved if necessary to perform maintenance or repair.
Dental Implants, while typically easy to place, require a high degree of planning in order to be successful long term. Dental Implants include the surgical costs of placing the implant along with any additional bone augmentation or grafting, as well as the restorative costs that include making an abutment (foundation that inserts into the implant) and crown (tooth) for the implant. We recommend that each individual receive a thorough evaluation to determine the best approach and materials to provide lasting success for your dental implant. At the conclusion of this evaluation a detailed cost estimate can be provided to you including any necessary referrals to specialists.
In this scenario 2 implants can be placed, which then support a ‘3-unit Bridge’, thus replacing all 3 missing teeth with a single fixture. Implant supported bridges can generally be placed in most areas of the mouth if ample bone is present to support the implants.

This diagram illustrates the use of implants with precision attachments’ to anchor an existing denture. Implants are incredibly effective for serving as attachments to aid with the retention of dentures. The implant attachment is opposed by a matching attachment on the underside of the denture so that the denture can be secured in place. Often times a patient’s existing denture can be ‘retro-fitted or re-lined’ for use with implants after they have been placed. However, there are certain situations where fabrication of a new denture is advisable for the best outcome. Many of our patients that have transitioned to implant supported dentures are amazed at the amount of functionality that is regained with regards to chewing.